QR Code
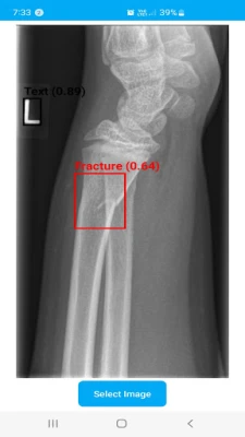
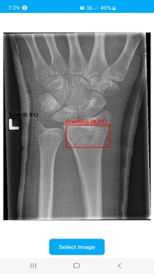
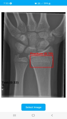
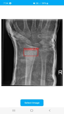
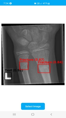
FractureX Wrist X-Ray Detector

FractureX Wrist X-Ray Detector

by Enlighten Engineering
(0 Reviews) November 06, 2025
FractureX Wrist X-Ray Detector FractureX Wrist X-Ray Detector FractureX Wrist X-Ray Detector FractureX Wrist X-Ray Detector FractureX Wrist X-Ray Detector FractureX Wrist X-Ray Detector

Latest Version

Update
November 06, 2025
Developer
Enlighten Engineering
Categories
Education
Platforms
Android
Downloads
0
License
Free
Package Name
com.enlightenengineering.FractureX
Visit Page

More About FractureX Wrist X-Ray Detector

CBC Diagnosis – Educational & Research Tool
CBC Diagnosis is an Android app designed to demonstrate how machine learning can be applied to hematological data. Users can input age, gender, and routine CBC parameters to see how a trained model predicts conditions as a learning exercise.

Key Features:

Educational AI demonstration using CBC data.

Offline functionality: all processing runs on-device.

Simple interface for exploring model predictions in classroom or research settings.

Supports learning and research in AI-based hematology.

Disclaimer:
This app is for educational and research purposes only. It is not a medical device and should not be used for clinical diagnosis, treatment, or patient management.

Rate the App

Add Comment & Review

User Reviews

Based on 0 reviews
5 Star
0
4 Star
0
3 Star
0
2 Star
0
1 Star
0
Add Comment & Review
We'll never share your email with anyone else.